Present and Future Impacts of Computer-Aided Design/ Computer-Aided Manufacturing (CAD/CAM)

Present and Future Impacts of Computer-Aided Design/ Computer-Aided Manufacturing (CAD/CAM)

Peter P. Ikubanni Adekunle A. Adeleke Olayinka O. Agboola Chiebuka T. Christopher Boluwatife S. Ademola Joseph Okonkwo Olanrewaju S. Adesina Peter O. OmoniyiEsther T. Akinlabi 

Department of Mechanical Engineering, Landmark University, Omu-Aran 251101, Nigeria

Department of Mechanical Engineering, Nile University of Nigeria, Abuja 900001, Nigeria

Department of Mechanical Engineering, Redeemers University, Ede 232101, Nigeria

Department of Mechanical Engineering, University of Ilorin, Ilorin 240003, Nigeria

Department of Mechanical Engineering Science, University of Johannesburg, Johannesburg 2092, South Africa

Pan African University for Life and Earth Sciences Institute (PAULESI), Ibadan 200005, Nigeria

Corresponding Author Email: 
omoniyi.po@unilorin.edu.ng
Page: 
349-357
|
DOI: 
https://doi.org/10.18280/jesa.550307
Received: 
25 March 2022
|
Revised: 
3 June 2022
|
Accepted: 
12 June 2022
|
Available online: 
30 June 2022
| Citation

© 2022 IIETA. This article is published by IIETA and is licensed under the CC BY 4.0 license (http://creativecommons.org/licenses/by/4.0/).

OPEN ACCESS

Abstract: 

The world is a growing place with great technological advancement in all areas of life. For some decades now, various disciplines and industries have been engaged in using Computer-Aided Design/Computer-Aided Manufacturing (CAD/CAM) across different nations. CAD/CAM utilizes computers to integrate design and manufacturing processes for quality product attainment. This review article examined the present impacts of CAD/CAM on some sectors such as architecture, manufacturing, engineering and design, electronics, automobile, shipbuilding, aerospace, and medicine. Highlights on some applications and future impacts of CAD/CAM have also been discussed. The numerous impacts of CAD/CAM are discussed in the study. It was concluded that CAD/CAM had become integral parts of our world to ease production against traditional methods. The study recommended more research focus on biomaterials for 3-D bioprinting for tissue engineering applications.

Keywords: 

3-D bioprinting, CAD/CAM, automation, manufacturing, virtual reality

1. Introduction

Computer-Aided Design/Computer-Aided Manufacturing (CAD/CAM) uses computers to integrate design and manufacturing processes for fabricating products that meet customer demand by optimizing all elements involved in the product's life-cycle [1, 2]. CAD has revolutionized many fields of engineering [3]. It allows for and provides a graphical representation for the design of components in mechanical engineering; creation of building plans and layouts; and structural analysis in civil engineering; allows for the design of plants and plant analysis in chemical engineering to ensure high-efficiency operation of the plants. In electrical engineering, CAD is essential to reduce errors in the tedious manual analysis of large circuits. It helps accelerate the analysis process and attain accurate results [4].

After the CAD processes, CAM becomes an avenue to exhibit the designs made with CAD. CAM enables speed up processing of components, with more precise accuracy. The computer numerical control (CNC) is a major part of CAM [5]. CAD/CAM software allows engineers of various disciplines to specify equipment types and connections. These enable them to choose the most efficient production method with the aid of CAD/CAM and their engineering knowledge. CAD is an essential tool with immense usage in various industries, including automotive, shipbuilding, aerospace, industrial and architectural design, mechanical engineering, and many more. This paper focuses on the present and future usages of CAD and CAM in industries. It further focuses on the architectural, manufacturing, medicine, aerospace and the marine industry.

2. Present Applications of CAD/CAM in Some Fields

CAM/CAM has been proven to be an indispensable technology that enables the development of products for manufacturing in recent times. The application of CAD/CAM in several areas has provided innovative results, and these include:

2.1 Architecture

Architects drafted different buildings such as residential buildings, schools, and recreational buildings manually in the past. However, with the introduction of CAD software some decades ago, these designs have been made easy and sophisticated and at the same time it enhances creativity and efficiency [6, 7]. Using CAD in architecture, building designs can now be virtually beautified to reflect what is expected in reality. Some of the CAD software used by architects are ArchiCAD and AutoCAD.  Dare-Abel et al. [6] investigated CAD effects on students' creativity. The study pointed out the active participation of students using CAD rather than being lazy in designing. More so, conceptual pattern development and creative novel ideas were enhanced when CAD was used. Figure 1 displays a modern house designed using CAD.

Figure 1. CAD drawing of a modern building [8]

2.2 Manufacturing

The technologies, techniques, and methods used in manufacturing are constantly growing, along with increased requirements such as accuracy, quality of the product, and production rate. The integration of CAD/CAM in the manufacturing process has allowed manufacturers to greatly shorten the production time and create numerical control (NC) programs for new products. CAD/CAM systems have allowed manufacturers to quickly adapt in the production of new designs to meet customers' requirements and eliminate repetitive tasks. CAD/CAM systems have allowed the creation of NC strategies in machining [9]. It has increased the need for skilled engineers with knowledge of CAD/CAM systems, hence creating an indirect push on current engineers to develop themselves, thereby moving the entire manufacturing industry forward. It is essential to state that the major advantages of CAD/CAM in the manufacturing industries are realizable with efficient automation execution. The concept of robotics utilizes automation in CAD/CAM for manufacturing Figure 2. Through this, higher quality products are obtained, and there is a declination in production lead times through material handling time reduction and enhanced workflows processes [10]. The study of Al-Omari and Al-Jarrah [11] developed some steps in a CAD/CAM system for designing, simulating, and manufacturing metal forging processes through statistical analysis. More so, a study of the impact of CAD in the manufacturing (furniture) industry in Kosovo by Azemi [12] shows that companies with CAD usage were satisfied with its usage as it fulfilled their needs.

Figure 2. Robotic automation in manufacturing [13]

2.2.1 Additive manufacturing

Additive manufacturing (AM), also known as three-dimensional (3D) printing, is a vigorously growing route in innovation production know-how. Considerations on the possibilities of using three-dimensional printing know-how to manufacture models of ground-breaking answers are still ongoing [14, 15]. Figure 3 shows a typical example of an additive manufactured product. CAD/CAM is of a great use in additive manufacturing, as CAD are used in creating the designs which are converted to streolitic files, read by printers (CAM) to form the desired shape [16]. All AM techniques such as direct energy deposition (DED), powder bed fusion (PBF) all make use of CAD designs [17].

Figure 3. Typical example of additive manufactured product [18]

2.2.2 Subtractive manufacturing

Lynn et al. [19] described voxel-centered CAM systems that enable direct digital subtractive manufacturing of an assembly-free system. Process preparation for subtractive manufacturing (SM) includes voxel-by-voxel elimination of fabric in the same manner as an additive manufacturing process, which comprises layer-by-layer fabric addition. The voxelized computer-aided manufacturing system reduces operator participation by spontaneously creating tool-paths supported by evaluating available material to obviate for allowance within the machine's condition. Figure 4 displays a typical process of subtractive manufacturing.

Figure 4. Subtractive manufacturing [20]

2.2.3 Automobile manufacturing

Today's Automobile designers and engineers use CAD systems to draft designs, interact with other specialists, and even simulate actual work performance. Cooperation is a key aspect of this process. CAD application software makes room for creators to exchange data with the engineering and production units for responses and viability studies. Creators can also decide to create visual models for marketing studies and reasons. By simplifying the event process, automobile producers can also decrease the time taken between the drafting board and production line to produce newer brands even quicker than before. Automobile CAD systems also assist in identifying and eliminating design errors [21]. Computer simulations take three-dimensional models through a series of real-world situations, including high velocity, extreme weather conditions, the effect of collision dues to accidents, wear-and-tear, and so on, to evaluate how safe a design is. CAD has produced safer cars by using the software features to design and test airbags, seat-belts, transfer, absorption of energy, better visibility, handling and control of the vehicle, and anti-lock brakes [22]. A typical automobile engine block CAD design is displayed in Figure 5.

Figure 5. Automobile engine block CAD design [22]

2.3 Electronics

Improvements in the manufacture of electronics are quite analogous to mechanical manufacturing. However, they display slightly faster growth. A positive response mechanism is natural amid the development of electrical components and CAD & CAM technology. Due to ever-changing technology, the electrical industry is now divided in two compared with the numerous segments in the 50s. CAD & CAM systems are a fraction in this and play even more active roles in quickening the development process [23]. The CAD/CAM for electrical usage has shown accomplishment in the developmental cycle. However, there is a place for the continuation in CAD/CAM expertise, tools, and automation. Some of the uses of CAD/CAM in electronics include wiring, solder-wrap, stitch-wiring, multiwire, microwire, micro-shield, and unit layer [23].

2.4 Medicine

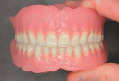
CAD/CAM has impacted medicine in many innovative ways. In dentistry, CAD/CAM has been used in drafting and forming dental repairs to replace teeth and mouth or jaw-related structures through artificial devices. These include manufacturing dentures and dental prostheses [24, 25]. The integration of CAD/CAM into the complete dentures manufacturing has brought various advantages, including high predictability of the outcome and high levels of accuracy of the complete denture fit. Complete dentures manufactured using CAD/CAM technology have reduced porosity compared to other conventionally manufactured complete dentures. Figure 6 shows a typical example of complete dentures.

More so, CAD/CAM technology has been employed to manufacture teeth braces [26-28]. It was observed that the braces developed using CAD/CAM were more efficient and lighter than the conventional braces. According to Layola [29], other uses of CAD/CAM in medicine/biology include model creation from medical imaging data, simulation of organ and tissue, drug design through modeling molecular mechanics.

Figure 6. Complete dentures [25]

The introduction of digital techniques, including CAD/CAM technology, for managing patients with facial defects led to a paradigm shift in the development of facial prostheses. This improves the patient’s satisfaction, shortens the working time, enables better prediction, and maximizes the outcome of prosthetic rehabilitation [30]. CAD technology never replaces well-trained physicians' expertise; however, CAD technology accelerates and offers verification checks for diagnosing possible diseases in patients [31].

2.5 Shipbuilding

These days, the demands for incorporating CAD applications with product lifecycle management (PLM) systems have increased in naval shipyards. Usually, the demand is addressed by using file-oriented CAD systems, which consist of controlling the CAD model and assembly files within the product lifecycle management (PLM) system, where their specific model relationships are replicated and overseen [32]. CAD has also found usage in the ship's construction in the shipyard, with the hype-flexible welding robot cell being programmed in a CAD environment for automatic welding [33]. Figure 7 shows a yacht designed using CAD software.

Figure 7. Shipbuilding with CAD [34]

2.6 Aerospace

AeroCAD is a microcomputer program built to streamline the aircraft design process. It uses wing and fuselage design values as inputs. This allows it to design a wing or fuselage with a portion of the parameters of conventional CAD programs. It makes the creation of an aircraft from a previously specified database inventory of aircraft parts (fuselage, wings, and tails) possible. This inventory may consist of parts that the user created. The computer-generated aircraft can be translated, rotated, and even scaled at the user's command. AeroCAD was written to be implemented on a microcomputer with the merit of fast feedback times, printer output, simple operation, and the capability to run AeroCAD on a cost-efficient system. An aircraft designed by CAD is shown in Figure 8.

Figure 8. Aircraft CAD drawing [35]

2.7 Textile industry

Through CAD systems, textile and apparel designers have been able to create complete garments, design printed patterns for textiles, and create specific weave and knit patterns, as shown in Figure 9. In textile designing, the designer usually creates a manual rough draft, which is scanned into a computer where the design is completed using CAD. CAD can produce 2-D or 3-D images on the computer to allow the client to review before production. The CAD design can be imported into a CAM system as a digital file, where the CAM manages the manufacturing process involved since the processes are automated. The manufacturing process is more streamlined and efficient using CAM. In the textile and apparel industry, CAD has been categorized into CAD for fabric design, CAD for apparel design, CAD for pattern making, and CAD for cutting room operations [36]. Using CAD, quick design changes are obtainable and possible and help save time and labor [37]. Some of the textile and apparel industry CAD software include Design Dobby, Design Jacquard, Weave It, Pro Weave, Corel Draw, AutoCAD, Telestia creator, TUKAcad, Richpeace, Integrated CAD, Modaris, GT CAD.

Figure 9. CAD in textile industry [38]

2.8 Education

With the ability of CAD/CAM to guide technological perception in students, a sense of innovation, being productive, and wide competitiveness is instilled in them as they join the real world, and help the trainees to improve the products of Small, Medium, and Micro Enterprises [39]. Although students need to learn how to design manually using the drawing tools such as drawing board, T-square, pencil, French curve, and set-squares. CAD learning helps them be familiar with what is obtainable in the real world. This is essential within the education system for students to be exposed to realities in the world. CAD/CAM system develops students’ problem solving and teamwork skills, which are necessary within the engineering and technology industries. It instills into the students the ability to generalize, apply, and synthesize the concept learned. The study of Wang and Bi [40] addressed the need to introduce new CAD/CAM courses into the engineering curriculum to keep up with the rapid changes in other fields. The study surveyed works of literature to discover shortfalls of CAD/CAM traditional teaching, and these were discussed in line with expectations of employers from prospective new employees. Hence, digital manufacturing theory was incorporated into the engineering curriculum. In another study by Ullah and Harib [41], a tutorial for integrating CAD/CAM in engineering curricula was examined. The tutorial gave the students an in-depth understanding of CAD/CAM relevant hardware devices and software packages function in real-life. The tutorial allowed students to apply their various theoretical knowledge, including mathematics, science, engineering, design, formulation and problem-solving skills.

3. Limitations of CAD/CAM

With the numerous advantages of CAD/CAM in various industries, its usage has some limitations. Some of the limitations are as follow [42]:

i. Sudden breakdown of computers can lead to loss of work due to virus attacks and many more unforeseen situations. More so, hackers can get the work easily hacked.

ii. The cost of production or purchasing of new systems and licensed software is high. More so, training and retraining on the use of CAD. Most popular CAD software like AutoCAD and SolidWorks are high priced for individuals. However, free, open-source CAD alternatives can be explored. Furthermore, the CAD operator must update skills for every new release of the CAD software. In addition, there is a need for operating systems or software regular updates.

iii. CAD/CAM systems require less employment. Hence, it could lead to unemployment for many.

4. Advances of CAD/CAM

There are various trends in the world today, and the integration of CAD/CAM would greatly increase the trend and reveal another great leap in CAD/CAM technology. Some of these trends include:

4.1 Product development and 3-D bioprinting

Rapid prototyping and manufacturing (RP&M) techniques have quite a chance to reduce the process and money spent on product development. Combined improved CAD, CAM, and RP&M systems are used when implementing local parts and manufacturing for rapid prototyping and when improving the potential of rapid growth for an extra-large quantity of small and medium-sized enterprises [43-46]. Smart CAD & CAM skills get more relevant as years go by in product improvement within the technology of designing total product alternatives. 3-D bioprinting is widely popular today and, with its success, has increased the feasibility of synthesizing bio-identical tissues for various uses. 3-D bioprinting can also be referred to as rapid prototyping, additive manufacturing, and free form fabrication. Extensive work was reported by Bishop et al. [47] on the current and future trends of 3-D bioprinting technologies Figure 10. With the incorporation of CAD/CAM, 3-D bioprinting has an excellent future for tissue engineering and regenerative medicine. However, it will require more multidisciplinary expertise in actualizing this technology [47].

Figure 10. General overview of 3-D bioprinting [46]

The use and application of CAD/CAM in 3-D bioprinting could majorly be found in the tissue and organ bioprinting technology in the field of medicine [46]. The emergence of 3-D bioprinting technology has the enablement to deliver cells and matrix proteins to form repair tissues. It is applied in the manufacturing of a scaffold for tissue engineering applications such as cartilage and subchondral bone [48-51].

4.2 Virtual reality

Virtual reality (VR) can be integrated with CAD/CAM technology to bring the visualizations offered by the CAD/CAM technology to another level. VR has recently received popularity due to its integration with 3-D modeling. However, this technology is still in its early developmental stage. Feeman et al. [52] evaluated the possibility for CAD in VR modeling in which the majority of the test participants preferred modeling in VR over traditional CAD applications. Presently, VR has limited uses in engineering. However, the novel success of this technology will be great shortly as research continues on it.

4.3 Artificial intelligence (AI)

With the emergence of AI, there may come a time when some design tasks will become automated, with AI’s creating unique designs with less or without human input. AI and CAD integration can speed up product development due to the knowledge-based system of AI (reasoning and decision making). This is the major essence of recent works on expert systems, which involve integrating AI and CAD.

4.4 Cloud technology

This allows easy access to a design from any part of the world. Design can be worked on with multiple designers from different parts of the world, given their inputs to the design. Manufacturing will be more accessible by using CAD with cloud technology to drive digital manufacturing and design innovation. A few advantages of integrating CAD with cloud technology are real-time modeling in the cloud, extended workflow beyond the desktop, project collaboration improvement.

4.5 Sensor technologies and industrial internet of things (IIoT)

The Internet-of-Things (IoT) is a way to connect physical objects to the internet, such as sensors, using either fixed or mobile connections. IoT-based systems can capture transparent, detailed, and interactive manufacturing data, allowing for real-time monitoring of assets and equipment, process efficiency, and factory resources. Recent advances in IoT in the industries have led to Industry 4.0 or Industrial IoT (IIoT) with the integration of CAD/CAM. More research on this will lead to more emerging advances in this technology.

IIoT involves the use of networked sensors and smart devices technologies directly on the floor of the factory, through data collection for artificial intelligence push and predictive analytics. Belli et al. [53] described the need to optimize the business processes involved in an emerging manufacturing factory towards industry 4.0 with IoT, in which the expected advantages will be unlimited in the nearest future.

4.6 Big data

Industries can optimize their production processes, reduce downtime, and respond to market changes by using the numerous data accessible from the IoT and other related data sources. IoT permits automation for making real-time data-based decisions. CAD/CAM functions will now be linked not only with design but with demand, performance, and customer experience data showing rapid transformation as a result. Incorporating CAD/CAM and the enormous data growth promise manufacturing distribution a more significant change avenue. A big data analytics platform was developed by Woo et al. [54] for manufacturing systems to achieve autonomous, intelligent, and collective decision-making and seamless data exchange [55-58]. This is still under testing in a real-time environment, which promises a great future.

4.7 Blockchain

Blockchain, while commonly known for cyber currency, will underpin the future of CAD/CAM. It can be a stable distributed ledger system to track all production steps and use them for the product management distributed life cycle strategy. There is a provision of recording every step using Blockchain, which cannot be altered and provides consistency in a real-time distributed world. Manufacturers using blockchain view operation logs in real-time and keep the products' movement track. A typical example may be in mechatronic engineering and aerospace industries involved in compliance with Federal Aviation Administration (FAA). Table 1 shows summary of other applications of CAD/CAM reviewed in different works of literature.

Table 1. Other applications of CAD/CAM

S/N

CAD/CAM Applications

References

1

Resin crown with AI

[59]

2

Denture fabrication

[60,61]

3

Dental composites

[62]

4

Pressed crown fabrication

[63]

5

Implant surgery on plastic Model

[64]

6

Rapid prototyping

[65]

7

Feature extraction of cylindrical parts

[66]

8

Implant dentistry

[67]

9

Resin composite block materials

[68]

10

Prosthetic socket for amputees

[69]

11

Mesh model segmentation in design

[70]

12

Orthognatic surgery

[71]

13

Marginal fit of metal copings

[72]

14

Industrial robots

[73]

15

Dental software programs

[74]

16

Biomedical materials

[75-77]

17

Surgery

[78]

18

Optimization

[79]

19

Nanotechnology

[80-84]

20

Composite materials

[85-89]

5. Conclusions

The present and future impact of Computer-Aided Design/Computer-Aided Manufacturing (CAD/CAM) has been reviewed while considering the importance to various sectors in the world. CAD/CAM has a large influence on architecture, additive manufacturing, subtractive manufacturing, electronics, medicine and education. The development of 3-D bioprinting biomaterials (bio-inks) and 3-D design are very important and more focus should be given to these aspects by researchers. In the advancement of 3-D bioprinting, numerous models should be generated from different laboratories. A great concern in the future of CAD/CAM is the downsizing and increase in the unemployment rate of unskilled or semi-skilled laborers. It is safe to say that CAD/CAM is and will continue to be very integral parts of our world. Although it has its limitations, CAD/CAM promises a great future globally.

  References

[1] Groover, M., Zimmers, E.W.J.R. (1983). CAD/CAM: Computer-Aided Design and Manufacturing. Corpus ID: 108780525.

[2] Antoniadis, A. (2012). Gear skiving—CAD simulation approach. Computer-Aided Design, 44(7): 611-616. https://doi.org/10.1016/j.cad.2012.02.003

[3] Adekunle, A.A., Ikubanni, P.P., Martins, O.O. (2018). Development of computer-aided design software for piston movement. International Journal of Mechanical Engineering and Technology, 9(10): 775-783. https://eprints.lmu.edu.ng/id/eprint/1693.

[4] Opal, A. (2005). Computer-aided design in the electrical engineering handbook. Esevier Academic Press, Netherlands, 43-51.

[5] Shivegowda, M.D., Boonyasopon, P., Rangappa, S.M., Siengchin, S. (2022). A review on computer-aided design and manufacturing processes in design and architecture. Archives of Computational Methods in Engineering, 1-8. https://doi.org/10.1007/s11831-022-09723-w

[6] Dare-Abel, O.A., Uwakonye, O., Opoko, A.P. (2016). the Effect of Cad on Architecture Students’ Creativity and Enthusiasm. INTED2016 Proceedings, 1: 8530-8536.

[7] Riesenfeld, R.F., Haimes, R., Cohen, E. (2015). Initiating a CAD renaissance: Multidisciplinary analysis driven design: Framework for a new generation of advanced computational design, engineering and manufacturing environments. Computer Methods in Applied Mechanics and Engineering, 284: 1054-1072. https://doi.org/10.1016/j.cma.2014.11.024

[8] Bibliocad. https://www.bibliocad.com/en/library/housing-in-revit-2021_157268/, accessed on Mar. 21, 2022.

[9] Dodok, T., Čuboňová, N., Císar, M., Kuric, I., Zajačko, I. (2017). Utilization of strategies to generate and optimize machining sequences in CAD/CAM. Procedia Engineering, 192: 113-118. https://doi.org/10.1016/j.proeng.2017.06.020

[10] Khan, M.J., Mishra, A. (2019). Role of CAD/CAM in designing challenges facing in manufacturing industry and developing manufacturing in modern manufacturing technology. International Research Journal of Engineering and Technology, 6(8): 453-457.

[11] Al‐Omari, F., Al-Jarrah, M., Omari, M., Hayajneh, M. (2009). Development of a CAD/CAM system for simulating closed forging process using finite-element method. Engineering Computations, 26(3): 302-312. https://doi.org/10.1108/02644400910943635

[12] Azemi, F. (2015). Cad systems in Kosovo manufacturing industries: The case of Kosovo furniture industry. Machines. Technologies. Materials., 9(11): 41-43.

[13] Bibliocad. https://www.bibliocad.com/en/library/robot-arm_48919/, accessed on Mar 21, 2020. 

[14] Mikolajczyk, T., Malinowski, T., Moldovan, L., Fuwen, H., Paczkowski, T., Ciobanu, I. (2019). CAD CAM system for manufacturing innovative hybrid design using 3D printing. Procedia Manufacturing, 32: 22-28. https://doi.org/10.1016/j.promfg.2019.02.178

[15] Elser, A., Königs, M., Verl, A., Servos, M. (2018). On achieving accuracy and efficiency in Additive Manufacturing: Requirements on a hybrid CAM system. Procedia CIRP, 72: 1512-1517. https://doi.org/10.1016/j.procir.2018.03.265

[16] Omoniyi, P.O., Akinlabi, E.T., Mahamood, R.M. (2021). Microstructural and mechanical properties of laser deposited Ti-6Al-4V alloy: A review. In IOP Conference Series: Materials Science and Engineering, 1107(1): 012110. https://doi.org/10.1088/1757-899X/1107/1/012110

[17] Omoniyi, P.O., Mahamood, R.M., Arthur, N., Pityana, S., Skhosane, S., Okamoto, Y., Shinonaga, T., Maina, M.R., Jen, T.C., Akinlabi, E.T. (2022). Joint integrity evaluation of laser beam welded additive manufactured Ti6Al4V sheets. Scientific Reports, 12(1): 1-9. https://doi.org/10.1038/s41598-022-08122-2

[18] Unsplash. https://unsplash.com/photos/aCniNTiIFd8, accessed on Mar 21, 2022.

[19] Lynn, R., Dinar, M., Huang, N., Collins, J., Yu, J., Greer, C., Tucker, T., Kurfes,s T. (2017). Direct digital subtractive manufacturing of a functional assembly using voxel-based models. Journal of Manufacturing Science and Engineering, 140(2): 1-14. https://doi.org/10.1115/1.4037631

[20] The Fabricator- Australian 3D printing company Titomic partners with Boeing to test process for producing space components. https://www.thefabricator.com/additivereport/news/additive/australian-3d-printing-company-titomic-partners-with-boeing-to-test-process-for-producing-space-components, accessed on Mar 21, 2022. 

[21] Willsey, M. (2009). Does CAD make better cars than human designs? https://auto.howstuffworks.com/under-the-hood/auto-manufacturing/cad-vs-human-car-design.htm, accessed on June 4, 2020. 

[22] 123free3dmodels. https://123free3dmodels.com/v8-engine-block-v1-11536, accessed on Mar. 21, 2022.

[23] Tomljanovich, M. (1987). CAD/CAM in the electronic manufacturing industry. Computers in Industry, 8(2-3): 215-225. https://doi.org/10.1016/0166-3615(87)90129-1

[24] Han, W., Li, Y., Zhang, Y., Lv, Y., Zhang, Y., Hu, P., Liu, H., Ma, Z., Shen, Y. (2017). Design and fabrication of complete dentures using CAD/CAM Technology. Medicine 96(1): 1-5. https://doi.org/10.1097/MD.0000000000005435

[25] Janeva, N., Kovacevska, G., Janev, E. (2017). Complete dentures fabricated with CAD/CAM technology and a traditional clinical recording method. Open access Macedonian Journal of Medical Sciences, 5(6): 785-789. https://doi.org/10.3889/oamjms.2017.169

[26] Barone, S., Neri, P., Paoli, A., Razionale, A.V. (2018). Design and manufacturing of patient-specific orthodontic appliances by computer-aided engineering techniques. Proceedings of the Institution of Mechanical Engineers, Part H: Journal of Engineering in Medicine, 232(1): 54-66. https://doi.org/10.1177/0954411917742945

[27] Cobetto, N., Aubin, C.E., Parent, S., Clin, J., Barchi, S., Turgeon, I., Labelle, H. (2016). Effectiveness of braces designed using computer-aided design and manufacturing (CAD/CAM) and finite element simulation compared to CAD/CAM only for the conservative treatment of adolescent idiopathic scoliosis: a prospective randomized controlled trial. European Spine Journal, 25(10): 3056-3064. https://doi.org/10.1007/s00586-016-4434-3

[28] Kwon, S.Y., Kim, Y., Ahn, H.W., Kim, K.B., Chung, K.R. (2014). Computer-aided designing and manufacturing of lingual fixed orthodontic appliance using 2D/3D registration software and rapid prototyping. International Journal of Dentistry. https://doi.org/10.1155/2014/164164 

[29] Layola, C. (2020). Medical & biological uses of CAD. https://blog.misumiusa.com/medical-biological-uses-of-cad, accessed on May 9, 2020. 

[30] Araby, Y.A. (2016). CAD/CAM technology: The paradigm shift in the prosthetic rehabilitation of facial defects. EC Dental Science, 6(6): 1424-1425.

[31] Chief, T.C. (2014). To what extent is cad/cam technology influencing the medical industry? https://www.indiacadworks.com/blog/to-what-extent-is-cadcam-technology-influencing-the-medical-industry/, accessed on June 3, 2020. 

[32] Fernández, R.P., Lado, R.P. (2015). Integration between shipbuilding CAD Systems and a generic PLM tool in naval projects. Computer Science, 2(5): 181-191.

[33] Ferreira, L.A., Figueira, Y.L., Iglesias, I.F., Souto, M.Á. (2017). Offline CAD-based robot programming and welding parametrization of a flexible and adaptive robotic cell using enriched CAD/CAM system for shipbuilding. Procedia Manufacturing, 11: 215-223. https://doi.org/10.1016/j.promfg.2017.07.228

[34] Engineers Rule. https://www.engineersrule.com/shipbuilding-sets-sail-cad/, accessed on June 4, 2020.

[35] Free3D. https://free3d.com/3d-model/wwii-plane-japan-kawasaki-ki61-v1--150484.html, accessed on March 21, 2022.

[36] Saha, S. (2018). CAD system and its application in garment & fashion industry. https://www.onlineclothingstudy.com/2018/10/cad-system-and-its-application-in.html, assessed on May 29, 2020. 

[37] Tabraz, M. (2017). Importance of Fashion Cad (Computer-Aided Design) Study for Garment Industry in Bangladesh. Internatıonal Journal of Scientific& Technology Research, 6(10): 26-28.

[38] Noor, A.R. (2017). Application of CAD/CAM software in apparel industry. http://textilemerchandising.com/application-cad-cam-software-apparel/, accessed on June 3, 2020.

[39] Mmokele, P.T., Moalosi, R. (2013). Challenges of teaching Computer Aided Design and Computer Aided Manufacturing in Botswana’s Senior Secondary Schools.

[40] Wang, X., Bi, Z. (2019). New CAD/CAM course framework in digital manufacturing. Computer Applications in Engineering Education, 27(1): 128-144. https://doi.org/10.1002/cae.22063

[41] Ullah, A. S., & Harib, K. H. (2018). Tutorials for integrating CAD/CAM in engineering curricula. Education Sciences, 8(3): 151. https://doi.org/10.3390/educsci8030151

[42] Arcvertex. https://www.arcvertex.com/article/advantages-and-disadvantages-of-using-computer-aided-design-cad/, accessed on June 4, 2020.

[43] Matta, A.K., Raju, D.R., Suman, K.N.S. (2015). The integration of CAD/CAM and rapid prototyping in product development: A review. Materials Today: Proceedings, 2(4-5): 3438-3445. https://doi.org/10.1016/j.matpr.2015.07.319

[44] Nnodim, C.T., El-Bab, A.M.R.F., Ikua, B.W., Sila, D.N. (2019). Design and simulation of a tactile sensor for fruit ripeness detection. In: World Congress on Engineering and Computer Science, 2241: 390-395.

[45] Nnodim, C.T., El Bab, A.M.R.F., Ikua, B.W., Sila, D.N. (2019). Estimation of the modulus of elasticity of mango for fruit sorting. International Journal of Mechanical and Mechatronics Engineering, 19(2): 1-10.

[46] Nnodim, C.T., Fath El-Bab, A.M., Ikua, B.W., Sila, D.N. (2021). Design, simulation, and experimental testing of a tactile sensor for fruit ripeness detection. In Transactions on Engineering Technologies, pp. 59-73. https://doi.org/10.1007/978-981-15-9209-6_5

[47] Bishop, E.S., Mostafa, S., Pakvasa, M., Luu, H.H., Lee, M.J., Wolf, J.M., Ameer, G.A., He, T.C., Reid, R.R. (2017). 3-D bioprinting technologies in tissue engineering and regenerative medicine: Current and future trends. Genes & Diseases, 4(4): 185-195. https://doi.org/10.1016/j.gendis.2017.10.002

[48] Willson, K., Ke, D., Kengla, C., Atala, A., Murphy, S.V. (2020). Extrusion-based bioprinting: current standards and relevancy for human-sized tissue fabrication. In 3D Bioprinting, pp. 65-92. https://doi.org/10.1007/978-1-0716-0520-2_5

[49] Fay, C.D. (2020). Computer-aided design and manufacturing (CAD/CAM) for bioprinting. In 3D Bioprinting, pp. 27-41. https://doi.org/10.1007/978-1-0716-0520-2_3

[50] Zhang, X., Zhang, Y. (2015) Tissue engineering applications of three-dimensional bioprinting. Cell Biochemistry and Biophysics, 72(3): 777-782. https://doi.org/10.1007/s12013-015-0531-x

[51] Grogan, S.P., Dorthé, E.W., Kopcow, J., D’Lima, D.D. (2022). 3D printing of cartilage and subchondral bone. In 3D Bioprinting and Nanotechnology in Tissue Engineering and Regenerative Medicine, pp. 371-395. https://doi.org/10.1016/B978-0-12-824552-1.00003-7

[52] Feeman, S.M., Wright, L.B., Salmon, J.L. (2018). Exploration and evaluation of CAD modeling in virtual reality. Computer-Aided Design and Applications, 15(6): 892-904. https://doi.org/10.1080/16864360.2018.1462570

[53] Belli, L., Davoli, L., Medioli, A., Marchini, P.L., Ferrari, G. (2019). Toward Industry 4.0 with IoT: Optimizing business processes in an evolving manufacturing factory. Frontiers in ICT, 6: 17. https://doi.org/10.3389/fict.2019.00017

[54] Woo, J., Shin, S.J., Seo, W., Meilanitasari, P. (2018). Developing a big data analytics platform for manufacturing systems: Architecture, method, and implementation. The International Journal of Advanced Manufacturing Technology, 99(9): 2193-2217. https://doi.org/10.1007/s00170-018-2416-9

[55] Akinnuli, B.O., Agboola, O.O., Ikubanni, P.P. (2015). Parameters determination for the bevel gears using computer aided design (Bevel CAD). British Journal of Mathematics and Computer Science, 9(6): 537-558. 

[56] Adediran, A.A. (2016). Development of a WormCAD using parametric design approach. “Eftimie Murgu” Reşiţa, 23(1): 11-22. https://eprints.lmu.edu.ng/id/eprint/673.

[57] Adekunle, A.A., Adejuyigbe, S.B. (2012). Computer aided design software development for welding hollow cylinder. Journal of American Science, 8(7): 82-86.

[58] Adekunle, A.A., Adejuyigbe, S.B. (2015). Development of CAD software for mechanical chains design. Journal of Emerging Trends in Engineering and Applied Sciences, 6(7): 260-266. https://hdl.handle.net/10520/EJC174436

[59] Yamaguchi, S., Lee, C., Karaer, O., Ban, S., Mine, A., Imazato, S. (2019). Predicting the debonding of CAD/CAM composite resin crowns with AI. Journal of Dental Research, 98(11): 1234-1238. https://doi.org/10.1177/0022034519867641

[60] Bilgin, M.S., Baytaroğlu, E.N., Erdem, A., Dilber, E. (2016). A review of computer-aided design/computer-aided manufacture techniques for removable denture fabrication. European Journal of Dentistry, 10(2): 286-291. https://doi.org/10.4103/1305-7456.178304

[61] Han, W., Li, Y., Zhang, Y. (2017). Design and fabrication of complete dentures using CAD/CAM technology. Medicine, 96(1): e5435. https://doi.org/10.1097/MD.0000000000005435

[62] De Santis, R., Gloria, A., Maietta, S., Martorelli, M., De Luca, A., Spagnuolo, G., Riccitiello, F., Rengo, S. (2018). Mechanical and thermal properties of dental composites cured with CAD/CAM assisted solid-state laser. Materials, 11(4): 504. https://doi.org/10.3390/ma11040504

[63] Shamseddine, L., Mortada, R., Rifai, K., Chidiac, J.J. (2017). Fit of pressed crowns fabricated from two CAD-CAM wax pattern process plans: A comparative in vitro study. The Journal of Prosthetic Dentistry, 118(1): 49-54. https://doi.org/10.1016/j.prosdent.2016.10.003

[64] Wysocki, B., Maj, P., Sitek, R., Buhagiar, J., Kurzydłowski, K.J., Święszkowski, W. (2017). Laser and electron beam additive manufacturing methods of fabricating titanium bone implants. Applied Sciences, 7(7): 657. https://doi.org/10.3390/app7070657 

[65] Reyes, A., Turkyilmaz, I., Prihoda, T.J. (2015). Accuracy of surgical guides made from conventional and a combination of digital scanning and rapid prototyping techniques. The Journal of Prosthetic Dentistry, 113(4): 295-303. https://doi.org/10.1016/j.prosdent.2014.09.018

[66] Sivakumar, S., Dhanalakshmi, V. (2013). An approach towards the integration of CAD/CAM/CAI through STEP file using feature extraction for cylindrical parts. International Journal of Computer Integrated Manufacturing, 26(6): 561-570. https://doi.org/10.1080/0951192X.2012.749527

[67] Gulati, M., Anand, V., Salaria, S.K., Jain, N., Gupta, S. (2015). Computerized implant-dentistry: Advances toward automation. Journal of Indian Society of Periodontology, 19(1): 5-10. https://doi.org/10.4103/0972-124X.145781

[68] Choi, B.J., Yoon, S., Im, Y.W., Lee, J.H., Jung, H.J., Lee, H.H. (2019). Uniaxial/biaxial flexure strengths and elastic properties of resin-composite block materials for CAD/CAM. Dental Materials, 35(2): 389-401. https://doi.org/10.1016/j.dental.2018.11.032

[69] Sengeh, D.M., Herr, H. (2013). A variable-impedance prosthetic socket for a transtibial amputee designed from magnetic resonance imaging data. JPO: Journal of Prosthetics and Orthotics, 25(3): 129-137. https://doi.org/10.1097/JPO.0b013e31829be19c

[70] Xiao, D., Lin, H., Xian, C., Gao, S. (2011). CAD mesh model segmentation by clustering. Computers & Graphics, 35(3): 685-691. https://doi.org/10.1016/j.cag.2011.03.020

[71] Zinser, M.J., Sailer, H.F., Ritter, L., Braumann, B., Maegele, M., Zöller, J.E. (2013). A paradigm shift in orthognathic surgery? A comparison of navigation, computer-aided designed/computer-aided manufactured splints, and “classic” intermaxillary splints to surgical transfer of virtual orthognathic planning. Journal of Oral and Maxillofacial Surgery, 71(12): 2151-e1. https://doi.org/10.1016/j.joms.2013.07.007

[72] Khaledi, A.A., Farzin, M., Akhlaghian, M., Pardis, S., Mir, N. (2020). Evaluation of the marginal fit of metal copings fabricated by using 3 different CAD-CAM techniques: Milling, stereolithography, and 3D wax printer. The Journal of prosthetic dentistry, 124(1): 81-86. https://doi.org/10.1016/j.prosdent.2019.09.002

[73] Nagata, F., Yoshitake, S., Otsuka, A., Watanabe, K., Habib, M.K. (2013). Development of CAM system based on industrial robotic servo controller without using robot language. Robotics and Computer-Integrated Manufacturing, 29(2): 454-462. https://doi.org/10.1016/j.rcim.2012.09.015

[74] Son, K., Lee, W.S., Lee, K.B. (2019). Prediction of the learning curves of 2 dental CAD software programs. The Journal of Prosthetic Dentistry, 121(1): 95-100. https://doi.org/10.1016/j.prosdent.2018.01.004

[75] Sieper, K., Wille, S., Kern, M. (2017). Fracture strength of lithium disilicate crowns compared to polymer-infiltrated ceramic-network and zirconia reinforced lithium silicate crowns. Journal of the Mechanical Behavior of Biomedical Materials, 74: 342-348. https://doi.org/10.1016/j.jmbbm.2017.06.025

[76] Güth, J.F., Edelhoff, D., Goldberg, J., Magne, P. (2016). CAD/CAM polymer vs direct composite resin core buildups for endodontically treated molars without ferrule. Operative Dentistry, 41(1): 53-63. https://doi.org/10.2341/14-256-L

[77] Bai, S., Shang, H., Liu, Y., Zhao, J., Zhao, Y. (2012). Computer-aided design and computer-aided manufacturing locating guides accompanied with prebent titanium plates in orthognathic surgery. Journal of Oral and Maxillofacial Surgery, 70(10): 2419-2426. https://doi.org/10.1016/j.joms.2011.12.017

[78] Foley, B.D., Thayer, W.P., Honeybrook, A., McKenna, S., Press, S. (2013). Mandibular reconstruction using computer-aided design and computer-aided manufacturing: an analysis of surgical results. Journal of Oral and Maxillofacial Surgery, 71(2): e111-e119. https://doi.org/10.1016/j.joms.2012.08.022

[79] Montiel-Ross, O., Medina-Rodriguez, N., Sepulveda, R., Melin, P. (2012). Methodology to optimize manufacturing time for a CNC using a high performance implementation of ACO. International Journal of Advanced Robotic Systems, 9(4): 121. https://doi.org/10.5772/50527

[80] Yoon, H.S., Lee, H.T., Jang, K.H., Kim, C.S., Park, H., Kim, D.W., Lee, K., Min, S., Ahn, S.H. (2017). CAD/CAM for scalable nanomanufacturing: A network-based system for hybrid 3D printing. Microsystems & Nanoengineering, 3(1): 1-11. https://doi.org/10.1038/micronano.2017.72

[81] Cekic-Nagas, I., Ergun, G., Egilmez, F., Vallittu, P.K., Lassila, L.V.J. (2016). Micro-shear bond strength of different resin cements to ceramic/glass-polymer CAD-CAM block materials. Journal of Prosthodontic Research, 60(4): 265-273. https://doi.org/10.1016/j.jpor.2016.02.003

[82] Koller, M., Arnetzl, G.V., Holly, L., Arnetzl, G. (2012). Lava ultimate resin nano ceramic for CAD/CAM: customization case study. International Journal of Computerized Dentistry, 15(2): 159-164.

[83] Katsoulis, J., Müller, P., Mericske‐Stern, R., Blatz, M.B. (2015). CAD/CAM fabrication accuracy of long‐vs. short‐span implant‐supported FDPs. Clinical Oral Implants Research, 26(3): 245-249. https://doi.org/10.1111/clr.12522

[84] AlKahtani, R.N. (2018). The implications and applications of nanotechnology in dentistry: A review. The Saudi Dental Journal, 30(2): 107-116. https://doi.org/10.1016/j.sdentj.2018.01.002

[85] Zhi, L., Bortolotto, T., Krejci, I. (2016). Comparative in vitro wear resistance of CAD/CAM composite resin and ceramic materials. The Journal of Prosthetic Dentistry, 115(2): 199-202. https://doi.org/10.1016/j.prosdent.2015.07.011

[86] Egilmez, F., Ergun, G., Cekic-Nagas, I., Vallittu, P.K., Lassila, L.V. (2018). Does artificial aging affect mechanical properties of CAD/CAM composite materials. Journal of Prosthodontic Research, 62(1): 65-74. https://doi.org/10.1016/j.jpor.2017.06.001

[87] Shembish, F.A., Tong, H., Kaizer, M., Janal, M.N., Thompson, V.P., Opdam, N.J., Zhang, Y. (2016). Fatigue resistance of CAD/CAM resin composite molar crowns. Dental Materials, 32(4): 499-509. https://doi.org/10.1016/j.dental.2015.12.005

[88] Elsaka, S.E. (2014). Bond strength of novel CAD/CAM restorative materials to self-adhesive resin cement: the effect of surface treatments. J Adhes Dent, 16(6): 531-540. https://doi.org/103290/j.jad.a33198

[89] Prasad, R.R., Durgasukuamar, G. (2021). Performance analysis of PI, T1NFC, and T2NFC of indirect vector control-based induction motor using DSpace-2812. Journal Européen des Systèmes Automatisés, 54(5): 671-682. https://doi.org/10.18280/jesa.540502